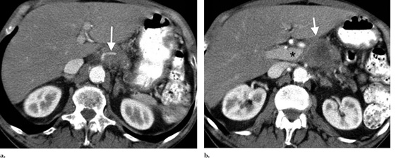
一名76岁的非裔美国男性诊断出患有不可切除胰腺癌III期(肿瘤/瘤/转移阶段)在他拒绝了化疗和射频之后二次血管入侵使得他选择了经皮IRE(纳米刀消融术)技术。CT成像(图表 1)表明4.1X4.1X3,5cm肿瘤包含腹腔动脉,肠系膜上静脉的起源,肝外门静脉堵塞和上肠系膜静脉。全身CT扫描显示没有转移性疾病。

图一:肿块大小:4.1X4.1X3,5cm,肿瘤侵犯了腹腔动脉、肠系膜上静脉、肝外门静脉
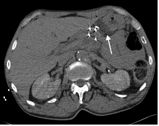
经皮消融计划和实行两次消融会话来避免一次使用多于六根探针。病人全身麻醉后,4个15cm的单极探针,纳米刀Nanoknife; AngioDynamics, Latham, New York 在方形配置平均1.8cm间距的超声波指引下放置在肿瘤的中央和侧面。带有造影剂的CT影像用来评估相应血管的探针位置和探针距离。(图2)。所有探针有1cm的电极接触其中一个探针用的是经肝途径。一个22Ga脊椎穿刺针(Becton Dickinson, Franklin Lakes, New Jersey) 在US指引下放置在胃肝处来分离无菌水。

图2:IRE针放置的位置
六个脉冲交付向量选择在最大距离2.3厘米到最小距离1.4厘米之间。所有脉冲在与心电图描述同步的绝对修复期进行。 (AccuSync, Milford, Connecti-cut)来避免诱发心室心律不齐。移除所有探针后启动螺旋CT,然后把病人送到术后麻醉恢复室。病人按照一般住院病人观察48个小时。手术后他没要求使用任何镇痛药物而且他的饮食在24小时之内就恢复正常饮食。
两周后病人进行了第二次IRE手术来治疗首次消融未治疗的肿瘤内侧。第二次消融同样使用三根探针。三根探针在US指引下确定血管结构然后直接从侧面放置到内侧。病人在第二次消融后24小时出院并没有疼痛感和并发症。
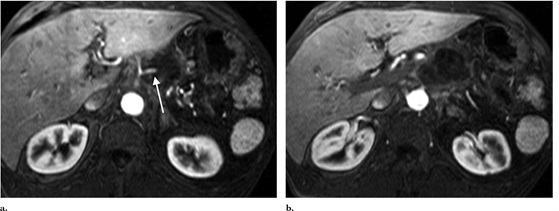
在随后两周的随访中,病人出现轻微间歇性疼痛,没有出现疲劳,发烧或其他症状。每次消融后24小时之内都使用对比增强磁共振成像(图3),第二次消融后的30天预期消融区没有出现增强。消融区的脉管系统尤其是脾动脉和肠系统上动脉保持明显不变的术前外表。血清肿瘤抗原在消融手术后30天从1500U/mL减少到404U/mL90天达到407U/mL。诊断后使用PET/CT成像(图4)如图所示出现了一个轻微的氟脱氧葡萄糖周边圈。虽然没有观测到参与肿瘤或节似疾病,但是在治疗后的三个月PET/CT扫描出了1.5cm的肝转移。因病变远离大血管在经皮RF消融后肝转移被成功治愈,然后开始吉西他滨化疗。RF消融两个月,诊断后六个月,磁共振成像显示腹部没有疾病恶化或复发。癌症病源19-9水平六个月减少到236U/mL。

MR image at 1 month after IRE procedure. (a) Superior aspect of tumor shows no residual enhancement of tumor, with maintained patency and appearance of the splenic artery (arrow). (b) At the level of the superior mesenteric artery, complete necrosis is also seen.

PET/CT image at 3 months. Smooth marginal uptake is seen, which is an expected finding after ablation. There is no focal residual disease in the pancreatic bed. Focal left hepatic
uptake is not well seen on coronal projection.




预约电话:
粤公网安备 44010602006223号