昨日,我院肿瘤二科收到了一份特别的礼物:一面锦旗。短短几字承载着赞誉,写满了责任更道出了肿瘤患者与医护人员间的深深情意!
2月28日的羊城,春暖花开,处处展现的生机。来自河南的刘健患者(化名)和爱人,带上他们精心制作的一面锦旗来到了肿瘤二科医生办公室,并把这面锦旗亲手给黄德良主任及其团队人员手上。“真的非常感谢黄教授团队,救了我老公一命!”刘健的爱人姜大姐一见到我们就连声道谢。“我们真的无法用言语表达感谢,只能满怀感恩之心送上这面锦旗”。

肺鳞癌刘健患者和家属送上锦旗
据姜大姐介绍,他们是在东莞经商的河南人,在2020年3月因为气喘、呼吸困难在东莞市人民医院检查,后通过纤支镜检查和病理活检确诊为肺鳞癌。从此开启了他们颠簸的求医之路。为了抗肿瘤治疗,他们辗转于东莞、长沙等多地,病情一度严重至需入ICU治疗近20多天。
“我们这次来对地方了!我们山东烟台的朋友推荐过来的,说这里做肿瘤微创技术很好,医生护士很值得信任。所以我们正月初七直接从东莞过来了,当时还没见过黄教授呢!”姜大姐动情的说。“在13日那天,他出现呼吸困难,很严重,情况很危险。那天值班吴医生马上给帮忙通知黄教授,还有麻醉科、内镜室等其他医生过来进行抢救。黄教授他们一直忙到深夜零点,看到他安全了,教授他们才离开。是黄教授救了他的命。现代医院对我们有恩呀,我们真的特别特别感动!”说完这段话,姜大姐双眼泛着泪花。

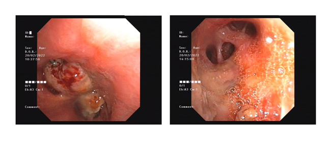
支气管镜下微波消融术前后对比
据黄德良主任介绍,刘健患者这次因肺鳞癌引起气喘问题过来求治的。入院后经过完善检查诊断为右肺鳞癌并胸膜、肺门、纵膈淋巴结转移,已是T4N2M1属于肺癌IV期了。“当时情况非常紧迫,患者右主支气管主干完全堵塞,左主支气管堵塞,虽然之前在外院做了支架,但支架近端也有肿瘤导致大部分的堵塞。病人呼吸困难,经皮血氧低于80%。在麻醉科,气管镜室和8楼医护共同努力下给病人行右主支气管肿物微波消融术,术后气道恢复通畅,右肺完全复张!患者手术中还出行反复出血,情况非常不理想,幸得患者家属无条件的信任,经过团队的共同努力,历时3个多小时的手术还是顺利完成。目前病人已经可以下床走路,经皮血氧恢复至95%。”2月15日,经过黄教授团队的评估后,患者接受了介入化疗方案,术后患者呼吸困难症状得到进一步改善,指尖血氧好转。在2月20日再次接受气管镜下双侧主支气管肿物微波消融术。3月1日复查了CT,患者肿块缩小,右肺复张。

术前术后CT表现
“黄教授是个非常低调,善良、真诚又负责,医德高尚。真的是用任何词语都无法比喻。现代医院对我们有莫大的恩情。有黄教授和他的得力团队,将会拯救个无数痛苦的家庭,造福苍生。非常感恩感谢你们!”刘健大哥和姜大姐最后还再次道谢。“一定要相信黄教授,一定要相信医生,相信就是奇迹!”
支气管镜下微波消融术,是目前国内比较前沿的一项肿瘤微创治疗,结合了支气管镜和微波消融的双重微创技术的优势。广州现代医院为国内熟练开展此项技术的为数不多的医院之一,手术的成功实施,克服了气管重度狭窄的医疗难题,为更多患者带来了新生命!




预约电话:
粤公网安备 44010602006223号