10月9日,一场盛大的金婚典礼在印尼雅加达Royal krakatau酒店举行。站在大写的英文字母“LOVE”前,刚从圣丹福·广州现代(肿瘤)医院接受完治疗的肺癌患者——杨清贵,偕同妻子张英友,幸福地接受着现场300余名亲朋好友的祝福与见证。
杨清贵夫妇金婚典礼的现场
木炭搭起的情缘
20世纪中期的印尼,几乎是“无电”时代,煮饭、炒菜、烘衣服等全靠木炭。很多商人纷纷抓住赚钱机会,做起木炭生意。杨清贵夫妇的家里也赶上了这阵浪潮。1966年,19岁的张英友长得亭亭玉立,常因店里缺货到杨清贵家中拿木炭。杨清贵的父亲很快对张英友产生深刻的印象:这姑娘长得不错,做工也勤快,适合做儿媳妇。随后,杨清贵的父亲带着儿子到张英友家中提亲。考虑杨清贵人品不错,张英友的父母同意了婚事。翌日,杨清贵便和张英友拍起了婚纱照,结婚。一切都是如此简单、迅速。第二年,他们的孩子也呱呱落地。据了解,婚后夫妇二人的生活比较平静,极少吵架。“他偶尔会凶我,但我都不会反驳,一反驳就要争执不休了。”张英友说道。
杨清贵夫妇年轻时的婚纱照
癌魔从天而降
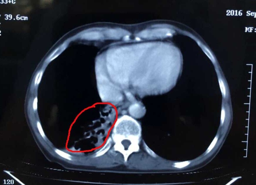
命途无常,无惊无险经历了大半辈子,杨清贵夫妇正忙着颐养天年,生活却被种下了一颗巨大“炸弹”。2015年,杨清贵持续出现咳嗽、咳痰、呼吸困难10个月,吃药也不见效果。后经检查发现,杨清贵的右肺有一个约10*6cm大小的肿块,确诊为肺癌。杨清贵十分害怕,担心自己能否好起来。“在印尼,癌症是很可怕的,人们都觉得它是绝症。”张英友解释道。医生建议杨清贵手术治疗。杨清贵怕痛,拒绝了。一个星期后,杨清贵的儿媳从网上了解到圣丹福·广州现代(肿瘤)医院,她建议杨清贵:“爸,你到中国去吧,那里的广州现代(肿瘤)医院不用开刀。”到雅加达办事处预约好入院时间,一周后,杨清贵来到了圣丹福·广州现代(肿瘤)医院。
杨清贵夫妇与圣丹福·广州现代(肿瘤)医院医护人员
肿瘤基本全部消失
6月28日,杨清贵接受了介入治疗,手术顺利。术后杨清贵没有明显的不适症状,24小时后正常行走。为进一步杀灭肿瘤,杨清贵又接受了氩氦刀治疗。据了解,氩氦刀适用于各种类型的实体瘤,其治疗原理是在CT的引导下,将冷冻穿刺针插入肿瘤里,注入氩气,使冷冻针尖迅速降温至零下140-160摄氏度,将肿瘤冷冻成冰球,再注入氦气使冷冻针尖迅速升温至40摄氏度左右,如此反复两到三个循环,让肿瘤细胞崩解凋零。
术前的杨清贵心情十分忐忑,但听了医生一番话后又恢复了平静。“林菁医生耐心地跟我们解释了治疗有哪些风险,如肿瘤靠近肺门以及气管,冷冻治疗可能会造成出血、咳血、气胸等,但很快又给我们服下定心丸,‘医院每天都做5-6台这样的手术,手术的专家经验都十分丰富,出现并发症的情况极少。’”张英友说道。据了解,经过近3个月的综合治疗,目前杨清贵的肿瘤几乎全部消失,胃口、睡眠等恢复良好,身体与常人无异。

肿瘤治疗前

肿瘤治疗中

肿瘤治疗后
喜迎50周年盛大金婚
10月9日,杨清贵夫妇迎来50周年结婚纪念日。这天,夫妇二人不仅邀请了亲人朋友见证他们的幸福与安康,还特意邀请了圣丹福·广州现代(肿瘤)医院驻雅加达办事处的工作人员。在金婚典礼上,张英友感动地表示:“很感谢圣丹福·广州现代(肿瘤)医院,在那里,我们得到了很大的治疗信心,没有那里的医疗团队,就没有我们今天的金婚典礼。”据了解,在杨清贵住院期间,主治医生林菁对夫妇二人十分照顾,除了在治疗上尽心尽力,还常常关心他们的起居饮食。9月15日为中国传统的中秋佳节,据了解,为让夫妇二人过上一个温馨的节日,林菁当天还给他们送来了一盒月饼。对于接下来的计划,喜欢旅行的张英友迫不及待地表达了心中愿景:“希望老头快点好起来,这样我就可以继续周游列国了。”
杨清贵夫妇与主治医生林菁
后记:采访过程中,张英友面对镜头侃侃而谈,沉默寡言的杨清贵则安静地在旁聆听,时而用清澈的眼神瞅瞅这个人,时而瞅瞅那个人,问及他时,他也会偶尔答上两句,但答案大多都是“不知道”,随后张英友又笑着替他补充。这么多年,作为照顾丈夫的一方,问及丈夫有哪些优点,张英友笑着答道:“没有”,问及有哪些不好的地方,张英友又笑着答道:“偶尔会凶我”,但她随即强调:“我不后悔”。人往往就是这样,有的人你谈不上他哪里好,但却非他不可。50年风雨人生,张英友照顾杨清贵,杨清贵依赖张英友,夫妇二人就这样以最平淡的方式,诠释了“执子之手,与子偕老”。
指导:彭晓赤主任、白海山主任




预约电话:
粤公网安备 44010602006223号