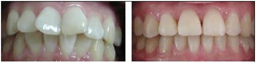
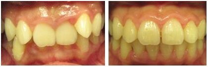
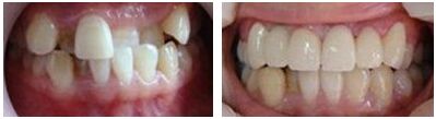
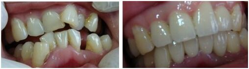
牙齿不齐又称错颌畸形,是指儿童在生长发育过程中,由先天的遗传因素或后天的环境因素导致的牙齿、颌骨、颅面的畸形。下面来看一组牙齿不齐矫正前后对比图




相信看完这组牙齿不齐矫正前后的效果图后,你对牙齿不齐矫正后的效果的信心有了很大的鼓舞。以上各种牙齿矫正方式都是广州现代医院口腔专业牙齿矫正医师尽心精心把关与患者理解合作配合的治疗结果。
如果你想了解更多各种牙齿不齐矫正方法的特点,优缺点,可以点击以下链接进入图文并茂的专题了解。
>>>>>>>>>>>>>>>>>牙齿矫正专题<<<<<<<<<<<<<<<<<<<<
国际认可的医院服务标准——JCI运营标准
国际JCI标准是当前全世界认可的医疗服务标准及世界卫生组织(WTO)认可的认证模式。作为JCI认证医院的一员,广州现代医院口腔科严格执行国际医院JCI运营服务标准。在诊疗、护理流程中的每一个环节,都做到精细化质量把控和服务标准化执行。以“零风险”就医环境为目标,杜绝医疗风险,减少安全隐患。
温馨提示:望闻问切是问医第一步,如果你有牙齿不齐的烦恼,请向在线医生详细阐述您的问题,我们口腔医院在了解了您的状况后,将依据您的实际情况制定适合您的治疗方案。后建议您尽早来院与医生及时沟通确定治疗方案,由医生来帮助您解决您的困扰。更多问题欢迎点击在线咨询。




预约电话:
粤公网安备 44010602006223号