脑瘤粒子植入术:小小碘粒子,一针微创灭脑瘤!
什么是脑瘤
脑瘤即颅内肿瘤,是指发生于颅腔内的神经系统肿瘤,包括起源于神经上皮组织、脑膜、生殖细胞、外周神经等的原发性肿瘤以及自其他系统颅内转移而来的继发性肿瘤。
脑瘤发病率约为7~10/10万,其中半数为恶性肿瘤,约占全部恶性肿瘤的1.5%。脑瘤可以发生于任何年龄,但以20~50岁多见。脑瘤的常见类型包括:
1. 胶质瘤:最常见的神经上皮组织肿瘤,主要出现在神经上皮组织,约占颅内原发恶性肿瘤的80%。
2. 听神经瘤:即前庭神经施旺细胞瘤,绝大多数起源于前庭神经施旺细胞,该类肿瘤为良性,大多为单侧生长,占颅内肿瘤的8%~10%。
3. 脑膜瘤:起源于脑膜及脑膜间隙衍生物的良性肿瘤,约占颅内肿瘤的20%。
4. 生殖细胞瘤:约占颅内肿瘤的0.5%~5%,好发于儿童及青少年,男性发病多于女性。
5. 蝶鞍区肿瘤:包括垂体腺瘤、颅咽管瘤等,虽生长缓慢,但肿瘤生长时会产生相应症状体征。
6. 脑转移瘤:脑是常见的恶性肿瘤转移目的地,肺、乳腺和胃的腺癌易发生脑转移。
脑瘤的传统疗法
1、手术:手术是治疗颅内肿瘤的主要方法,在保证安全的前提下最大限度地进行手术切除,以降低颅内压,减少瘤负荷,缓解症状,为后续放化疗创造机会。
2、放疗:主要包括常规放疗、瘤内放疗、立体定向放疗三种方式,根据不同肿瘤对于射线的敏感度选择合适的方式。
3、化疗:通常被用于恶性脑肿瘤的辅助治疗,可以控制病情的发展速度,延长患者的生存周期,通常选用药物毒性较低、分子体积小、脂溶性高并且易通过血脑屏障的化疗药物。
4、药物治疗:主要用于缓解由于脑肿瘤导致的诸多不适症状。
粒子植入术,
脑瘤治疗新曙光!
技术介绍


放射性粒子植入术,又称“粒子刀”,它是在CT、超声等影像引导下,将发出低能量γ(伽玛)射线的125碘粒子经微创穿刺技术精准植入肿瘤内,持续性杀伤不同时期裂变的肿瘤细胞的一种治疗方法。
125碘粒子辐射直径仅1.5cm左右,只作用于局部区域,定向“爆破”功能,避免损伤颅内重要的神经和血管等组织,全身毒副反应轻、并发症发生率少,且无需特别的屏蔽防护。
技术优势
1、创伤小:无需开颅手术切除,不会损伤颅内重要的神经、血管等组织
2、适应范围广:初治的脑胶质瘤、脑膜瘤、垂体腺瘤、听神经瘤、转移瘤、淋巴瘤、脊索瘤等,都可采用碘粒子植入疗法。
3、杀伤力强:多个粒子植入到肿瘤组织内,其放射剂量是普通放射剂量的2-3倍,因此对肿瘤细胞的杀灭效率更高,部分肿瘤可达到局部根治的疗效;
4、患者生活质量高:粒子植入创口如针眼般大小,不影响洗澡、运动,治疗后可正常活动,粒子的作用直径仅1.7cm,对颅内肿瘤周围正常组织损伤小,脑瘤患者生存质量明显提高;
5、可重复性强:粒子植入治疗对正常脑组织损伤较小,患者身体机能恢复快,出现局部复发或转移病灶,仍可行粒子植入治疗。
适应症和适用的患者
适应症
Indications
初治的脑胶质瘤、脑膜瘤、垂体腺瘤、听神经瘤、转移瘤、淋巴瘤、脊索瘤等,都适合采用碘粒子植入疗法。
适用患者
Applicable Patients
它尤其对中晚期恶性脑瘤患者、无法手术或不愿手术的原发颅内肿瘤患者、术后复发或放疗后复发及不能耐受其它治疗手段的脑瘤患者具有独特的优势。
脑瘤粒子植入术
手术知多少
手术操作流程
①
肿瘤部位MRI
②
定位
③
打孔操作
④
穿刺针到达
⑤
植入粒子
⑥
植入完毕
手术操作难点
CT引导下脑肿瘤放射性碘粒子植入术属于难度高的治疗技术,只有少数医院能开展。颅内血管和神经密集,一触而动全身,想要在避免损伤重要组织的基础上,精准地将粒子植入颅内肿瘤内,要求操作医生必须拥有过硬的医术和高超的综合技能:
1、外科经验:医生必须具备丰富的外科经验,精通肿瘤学,熟悉肿瘤与正常组织的关系,准确找到肿瘤位置;
2、影像学经验:医生必须精通影像学,能够熟练阅读CT片,从影像学上判断肿瘤生长情况;
3、丰富的放疗操作经验:医生必须具备丰富的放疗操作经验,判断肿瘤治疗的剂量和粒子植入位置、粒子分布情况、植入方向等,保护正常的颅内组织、神经、血管等。
4、颅内操作技能:医生必须掌握特殊技能和手法,比如颅内肿瘤粒子植入后针道止血处理等。
患者术后护理要点
患者术后24小时内可能发生水肿、脑出血的状况,需观察24小时;同时需定期进行放射性检查,以确保植入粒子的位置和放射性辐射强度没有发生显著变化;
1、保证充分休息:患者在做完手术后需要注意保证充分休息,保持良好肿瘤睡眠,避免进行剧烈活动或者过度疲劳,以免局部皮肤产生摩擦刺激,引发疼痛等全身不适症状。
2、加强营养:适当进食富含微量元素以及蛋白质等成分的食物,如鸡蛋、胡萝卜和动物肝脏等,均有助于为机体补充营养物质,但不可以吃油腻、辛辣类食物,避免对伤口产生刺激。
3、保持心情舒畅:患者在做完粒子植入后,需要保持心情舒畅,避免过于焦虑、紧张,可以有效促进疾病愈合;
4、注意观察自身情况:在做完粒子植入后,患者可能会出现手术部位疼痛症状,此时可以选择听轻音乐等方式转移注意力,必要时给予止痛药治疗。
我院专家
及成功案例介绍
专家介绍

刘院生
圣丹福广州现代肿瘤医院 微创院长
整合医学首席专家,副主任医师
中国抗癌协会肿瘤微创治疗委员会专家委员会常委
中国医药教育协会介入微创专业委员会常委
广州抗癌协会肿瘤微创治疗专业委员会常委
中国抗癌协会肿瘤微创治疗专业委员会粒子治疗专业委员会委员
刘院生院长从事实体肿瘤综合微创介入治疗及医学影像诊断四十余年。精通冷冻消融术、射频消融术、微波消融术、纳米刀消融术、化学消融术、超声聚焦及光动力等;放射性粒子植入及化疗粒子植入,全身各部位肿瘤及相关性疾病经皮血管内药物灌注或/和栓塞术,各种血管内及非血管内支架置入或/和球囊扩张成形术。熟练掌握所有影像诊断技术。成功完成各类综合微创介入手术超过2万余例。
成功案例介绍
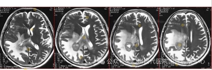
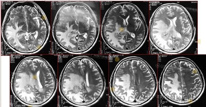
患者:63岁,男性
2013-11,体检发现肺部肿瘤,
2015-11,头颅MR检查提示颅内转移
2018-11,颅内肿瘤进展,无法接受后续治疗
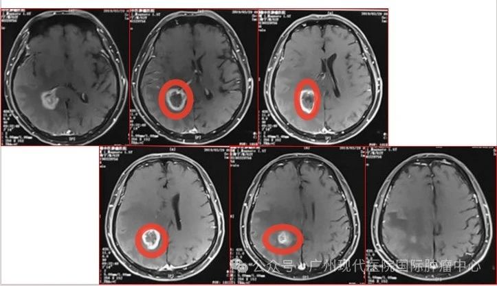
2019-3,接受脑瘤粒子植入术
2019-7,颅内肿瘤基本消失,正常生活至今




2019年7月,颅内肿瘤已基本消失

患者与家属合照,至今正常生活




预约电话:
粤公网安备 44010602006223号