2023年11月15日,在我院举办的「一带一路整合肿瘤医学培训基地抗癌明星志愿者回基地」活动中,来自越南抗癌明星——曾患肝癌的武文华大师,一袭黄色袈裟,神态平和而安详,在人群中颇为引人注目。
武文华是平顺省某寺庙的住持,自2019年7月在圣丹福广州现代肿瘤医院接受微创治疗后,至今一直保持健康的状态,生存期超过5年。如今,再次见到武大师,他步履轻健,脸颊和身材肉眼可见地比几年前更为丰满,谈话间笑容可掬,让我院医护人员感到重逢的喜悦。
武文华大师在活动中

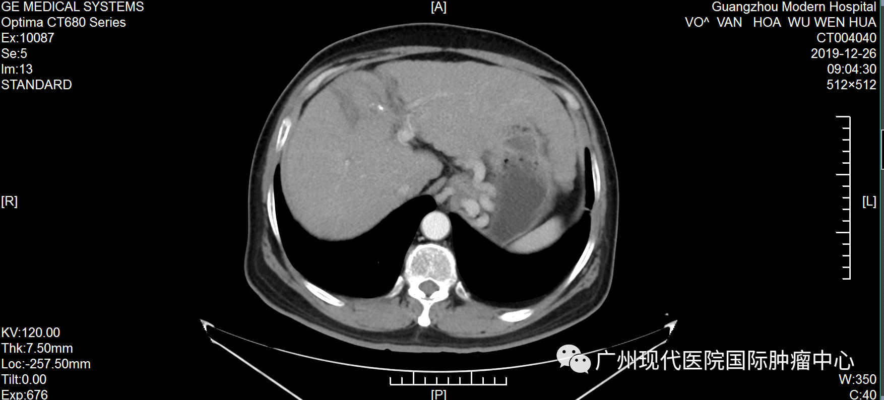
不愿做手术, 弟子推荐好医院 武文华自10岁起出家,年轻时,一直去各大佛寺学习佛教知识和游历,直至1999年时确诊丙肝,此后一直坚持吃药治疗。不曾想,时间的指针转到2019年,丙肝恶化为肝癌。 2019年6月,武文华因反复劳累出现低热,伴随右上腹胀痛、头痛等症状,且面部神经受影响,尤其是下颌与唇部麻痹且疼痛。随后,他到当地医院就诊,做腹部CT检查,初步诊断为肝细胞肝癌、肝硬化。当地医生建议做手术,武先生不愿意开膛破肚,也担心手术风险、术后感染等问题,于是拒绝越南医生的治疗方案。 武文华和妹妹及弟子合影 机缘巧合下,武文华的弟子了解到自己的一位亲友在一家口碑很好的癌症专科医院——圣丹福广州现代肿瘤医院获得了很好的治疗,现在肿瘤已经完全消失了。弟子把这家医院推荐给武文华,告诉他不用开刀也能很好地治疗癌症,并给他介绍最新的微创技术。“不用开刀”这一技术优势深深地吸引了武文华,他很快找到胡志明办事处咨询,并在工作人员的帮助下来到广州。 微创综合治疗, 让他重获新生 2019年7月,武文华来到圣丹福广州现代肿瘤医院。根据他的病情,医院MDT医疗团队研讨决定,给予他综合微创治疗方案。 第一次住院期间,武文华先后接受介入治疗、纳米刀等微创治疗。介入治疗可以切断癌细胞营养供给,抑制肿瘤生长,减少肿瘤转移,直至彻底杀死肿瘤;而纳米刀是一种全新的尖端肿瘤消融技术,通过电极探针释放高压脉冲击穿肿瘤细胞的细胞膜,形成多个纳米级不可逆的电穿孔,破坏细胞膜,从而破坏癌细胞组织,使细胞快速凋亡。他曾经的主治医生马主任表示,这个治疗方案,非常适合武文华这种不愿接受传统治疗、甚至对放化疗已经产生耐受性的癌症患者。 2019年武文华住院期间生活照 据了解,入院前,武文华体内的肿瘤大小为70*60mm。经介入栓塞治疗和纳米刀治疗后,肿瘤缩小到22*16mm。回忆治疗过程,武文华表示:“因为不需要开刀,每一次微创治疗都在半小时内结束。做介入治疗时,没有任何痛感,第二天就可以下床。纳米刀是在全麻的情况下做的,没什么感觉。” 治疗1个月后,肝部肿瘤明显缩小 治疗5个月后,肿瘤已基本消失 活动中,马主任回忆称:“他总共接受了5次介入治疗和纳米刀治疗,综合治疗完成后,肝部的肿瘤基本消失,他头痛发烧及面部神经影响等问题也得到了解决。”肿瘤消失后,为了巩固治疗效果,他遵守医嘱再次入院并接受了免疫治疗。 自2019年7月至今,武文华已经抗癌成功5年了,这对于他的家人而言是一种莫大的幸福。他的妹妹欣喜地说:“此前在越南的医院,医生下结论说他不做手术只能活3个月,如果做手术成功率只有30%。时间证明我们选择来广州治疗是对的,现在他每年仍然在越南定期检查,结果完全稳定,而健康的状态现在已经延长了5年,这是一个奇迹!” 医患情暖人心, 定下十年之约 这是武文华第三次回到医院。在采访中,他表示:“我完成治疗返回越南后,新冠疫情就爆发了,我像往常一样进行寺庙的日常管理工作,还积极参加抗疫的工作,我很幸运能够那么快地恢复健康,这要归功于医院的精心治疗和护理。” 住院期间,因为面部神经不适等症状,武文华被我院医护人员悉心照料照顾,他为之动容并为他们创作了一首诗:“别时合影它日忆,此处高风妙可夸。天使殷勤通昼夜,良医吐哺映莲花。”谈起写诗的初衷,他说:“我曾经在别的医院治疗过,后面依然选择这里,是因为这里的医生和护士都非常专业,对病人热情而周到。” 2019年,武文华出院时为我院赋诗及合影 活动中,武文华和主治医生马主任合影 他以亲身经历,对其他患者强调,肿瘤不是一种绝对导致死亡的疾病,而是一种慢性病。“现在我能够正常地饮食,工作,还能进行体育锻炼。如果你确诊了癌症,请不要灰心,不要悲伤,一定要遵守医嘱,相信自己可以恢复健康。” 抗癌明星的聚会中,马主任仔细聆听他的分享,不断绽放出感动与欣慰交织的笑容。她难掩心潮澎湃,还定下一场“十年之约”:“看到武大师目前拥有这么健康的状态,我感到我们医护人员所有的努力和付出都是值得的。希望十年后和大家再相聚!” 活动后,武文华还同其他抗癌明星们一起,体验了一场精彩纷呈的广州之旅。他们夜游珠江,体验现代都市的繁华;结伴同游宝墨园,观中华文化的博大精深。他们的癌后余生,正如脚下的路,徐徐绵延向前,充满阳光! 微创治疗技术简介 纳米刀:是一种全新的肿瘤消融技术,源于不可逆电穿孔技术,通过电极探针释放高压脉冲击穿肿瘤细胞的细胞膜,形成多个纳米级不可逆电穿孔,破坏细胞内外平衡,使细胞快速凋亡。治疗优势是时间短、 治疗区域的血管、神经等重要组织得以保留、安全可靠等。 1、具备创伤小、并发症少、安全、恢复快的优势。 2、可适应更多复杂的病情,包括胰腺、肝、肺、肾、前列腺以及其他实体肿瘤 介入治疗:在医学影像设备引导下穿刺,利用特制导丝等精密器械,将比静脉点滴药物浓度高2~8倍的抗肿瘤药物直接注入肿瘤内部,同时对肿瘤的供血动脉进行栓塞,实现肿瘤缩小甚至消失的目的。 1、具备创伤小、并发症少、安全、恢复快的优势。 2、适合采用传统放化疗效果不佳、不愿或不适合做手术等情况的患者。











预约电话:
粤公网安备 44010602006223号